Corona: Ist „genesen“ mit „gesund“ gleich zu setzen?

Die Spannweite dessen, was eine Cowid-19-Infektion im Körper eines Betroffenen auslöst, reicht von einfachen Erkältungssymptomen bis zu gar keinen Symptomen.
Langfristige Schäden
Jetzt warnt der österreichische Arzt Frank Hartig, dass manche Corona-Genesen langfristige Schäden erleiden würden, wie die Nachrichtenagentur APA berichtet.
Hartig leitet die Notfallaufnahme des Innsbrucker Universitätsspital und ist Krisenchef für Covid-19-Patienten. Unter ihnen waren auch sechs aktive Taucher – allesamt keine schweren Fälle. Sie konnten die Erkrankung Zuhause auskurieren.
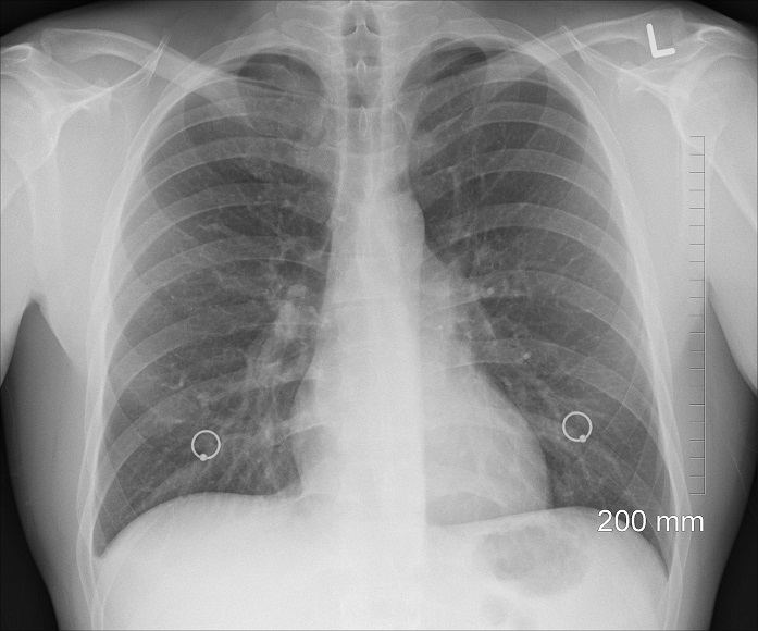
Die Schäden sind irreversibel
Es gilt mittlerweile als unbestritten, dass jede Infektion mit dem Corona-Virus als „als schwere Erkrankung ernst zu nehmen ist“. Wie sich die Spätfolgen auswirken würden, darüber fehlt es an Erfahrungswerten.
Nach mehr als fünf Wochen galten die Taucher als genesen. Hartig bittet sie für eine kleine Nachuntersuchung ins Spital zu kommen. Dann der schreckliche Befund der Röntgenbilder: „Die Schäden an der Lunge sind irreversibel“, sagt Hartig der APA.
„Die massiven Veränderungen an der Lunge können die Unfallgefahr deutlich erhöhen“ sagt der Oberarzt Frank Hartig.
Da schluckt man als Notfallmediziner
„Das ist schockierend, wir verstehen nicht, was hier gerade passiert. Sie sind wahrscheinlich lebenslang Patienten, da geht es nicht darum, ob sie wieder tauchen oder nicht“, resümiert der Mediziner.
„In der Bildgebung wurden sie überhaupt nicht besser“, berichtete Hartig.
„Als Notfallmediziner mit 20 Jahren Erfahrung schluckt man, wenn man bei einem 40-jährigen Patienten so etwas sieht“, wird der Arzt in OE24 zitiert.






